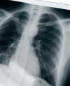
Researchers using deep learning tools to analyze chest radiographs found that they could predict patient costs at one, three and five years and identify high-risk patients, enabling health systems and payers to target care management and preventive health and develop cost and reimbursement plans.
Researchers at the University of California at San Francisco (UCSF) have combined AI tools with chest radiographs to not only help identify patients with potentially serious health issues, but accurately map out their healthcare costs for as much as five years.
The study, published this week in Nature, aims to help healthcare organizations identify patients who will need expensive treatment, allowing them to map out care management plans as well as health and wellness plans. It could also help health systems and payers develop accurate budgeting models for reimbursement.
It also points to the power of machine learning and AI technology in analyzing massive amounts of data to improve not only clinical outcomes but business models.
"This study confirms that radiological imaging indeed contains rich information that may not be routinely extracted by human radiologists but can be analyzed by the power of big data and deep learning," the researchers concluded. "Successfully predicting healthcare expenditure can potentially be an important first step towards improving health policy and medical interventions to address patient care and societal costs."
The study, conducted by a team led by Jae Ho Son and Yixin Chen of UCSF's Center for Intelligent Imaging, used AI technology on 21,872 frontal chest radiographs (CXR) collected from 19,524 patients with at least one year of spending data between 2012 and 2016. The patients were non-obstetric adults who visited the emergency department and received a chest radiograph at the ED or an outpatient facility on that same day.
"The models were developed to identify patients who are likely to incur high healthcare expenditure and predict their subsequent amount of healthcare spending within 1, 3, and 5 years," the study noted. "Unlike physicians who are trained to identify only a handful of imaging biomarkers known to medical literature, our deep learning algorithm is able to take into account thousands of imaging features of weak to moderate correlations with healthcare spending as presented in the training set."
"When a CXR is evaluated by the deep learning algorithm, its pixels are aggregated, transformed, and passed through many layers of filters with each layer extracting different lines, angles, patterns, and associations," the research team said. "As those extracted features are then passed upstream to higher-level filters, they are compared to the thousands of CXR that the algorithm was trained on. All these numbers finally converge to the estimated cost. Considering that CXR tends to be standardized, deep learning algorithms are trained to be extremely sensitive to details that clinical radiologists may not typically recognize."
The researchers noted that the AI platform combines demographic factors, baseline health factors and clinical diseases to map out a patient's current and future cost predictions. This, in turn, can be used to identify high-risk patients who account for the health system's biggest medical expenditures and potentially change that pattern.
"Such predictions can provide an important starting point in identifying high risk patients to achieve reduction in their healthcare spending and encouraging lifestyle modifications and more intensive medical management to achieve better medical and financial outcomes," they noted.
"We believe the use case of the model can go beyond simple actuarial calculation purposes," they wrote. "Though such a model would not be able to provide the precise diagnosis, it can sound an alarm to the patient and primary care doctor that the patient will likely have high healthcare spending in the future. Furthermore, our algorithm could be used in outpatient settings to estimate approximate future healthcare costs such that patients, doctors, and insurance companies would have a reliable indicator to consider when making patient treatment and financial decisions. The identified high-risk patients could be subject to more intensive preventive medical interventions and close follow-up visits to modify patient outcomes."
"The algorithm could also be used to identify patients with CXR that appear normal according to current clinical radiological standards but are still at risk for high medical costs," they added. "Similar to most deep learning algorithms, the application of ours can potentially be automatic, fast, scalable, and relatively low cost when compared to other services in the healthcare system."
The institute is expanding its partnership with COTA to analyze how demographics like zip code, ethnicity, and other socio-economic factors affect cancer care outcomes.
The Miami Cancer Institute is expanding its use of data analytics technology to identify gaps in care caused by social determinants of health.
The institute, part of Baptist Health South Florida, is extending its partnership with COTA, a developer of oncology-based data and analytics tools, to analyze how demographics like zip code, ethnicity, and other socio-economic factors affect care outcomes.
“Delayed cancer diagnosis for a patient frequently leads to poorer outcomes,” Leonard Kalman, MD, the institute’s executive deputy director and chief medical officer, said in a press release. “Our hope is that this collaborative research will identify the patients who are most at-risk for delayed diagnosis so we can increase education and expand access to routine cancer screenings for these populations.”
The issue is in the spotlight now as the nation moves away from the pandemic, which saw a shift from in-person care to virtual care and prompted many people to skip check-ups, wellness visits and other healthcare services they considered unimportant. Healthcare officials say that has led to an alarming decrease in cancer screenings, which could lead to a sharp increase in cancer diagnoses when people finally get around to those check-ups they should have had a year or two ago.
Apart from that, many health systems are now actively targeting social determinants of health, which are described as outside factors that affect clinical outcomes, including geographical, economic, social and societal barriers to accessing care. They're looking at new ways to reduce or eliminate these barriers, including through digital health and telehealth.
COTA has partnered with the Miami Cancer Institute since 2018, most recently applying the company's Real World Analytics (RWA) platform to better understand BRCA testing patterns. The institute is now testing all patients with newly diagnosed metastatic breast cancer for BRCA mutations, with a goal of identifying patients and their family members who are at increased risk.
Under the expanded deal, the institute will analyze curated real-world data, including de-identified electronic health records and claims data, to identify disparities in care management and patient outcomes.
The South Korean automaker is joining forces with California-based NowRx to develop new solutions for the delivery of prescription medications.
Hyundai is steering into healthcare.
The South Korean automaker announced a partnership this month with NowRx, a California-based digital health pharmacy platform, with the goal of launching “a pilot project to explore the use of new solutions in the delivery of prescription medications.”
"Autonomous vehicles are part of our long-term strategic vision for NowRx to further reduce delivery costs at scale,” Cary Breese, CEO and co-founder of NowRx, said in a press release. “We can’t imagine a better company to work with than [Hyundai], which has demonstrated substantial leadership in the autonomous vehicle, and other robotics and automation areas.”
The partnership points to the evolution of pharmacy services to include telehealth and other digital health tools, as healthcare organizations and pharmacies look to provide patient-centered services and turn the physical pharmacy into a healthcare destination.
NowRx offers telehealth services and same-day prescription delivery through a digital health platform that quickly fills e-prescriptions and sends those orders as quickly as possible to the patient. The company currently operates out of eight sites in California and Arizona and has reportedly filled close to 500,000 prescriptions for more than 64,000 customers.
In partnering with Hyundai, the company is looking to expand into the smart mobility solutions space, using autonomous vehicles to deliver prescriptions.
Competition is building in this area, with both Amazon and Walgreens offering prescription delivery services and several health systems partnering with pharmacies to offer retail healthcare services through brick-and-mortar sites. Some are also testing drones as delivery vehicles.
The Community Hospital of the Monterey Peninsula is using digital health tools to improve care coordination and management with patients before and after surgery, while plotting a slow and careful approach to RPM.
As healthcare organizations across the country expand their digital health footprint to improve care coordination, one California hospital is using targeting messaging and videos to help patients before and after surgery.
Community Hospital of the Monterey Peninsula (CHOMP), part of the Monterey-based Montage Health network, is using digital health tools provided by Force Therapeutics to not only better prepare patients for their upcoming procedures, but to ensure they transition quickly into prescribed recovery and rehabilitation programs.
"A lot of things have to be orchestrated within a certain period of time," says Christopher Meckel, MD, an orthopedic surgeon with Monterey Spine & Joint, who's been using the platform for patients undergoing hip or knee replacements. "We used to do this with huge folders of paper, basically a huge data dump of paperwork, and phone calls. That wasn't efficient."
The shift from paper-based to digital hasn't been easy, as anyone who's ever dealt with an electronic medical records platform can attest. The attraction and familiarity of seeing something written down is strong. But paper is cumbersome, and can be misplaced, lost, or destroyed. What's more, directions written down on paper can't be updated or changed to accommodate new care plans unless one wants to print out another set of instructions.
But something that is available in electronic format is accessible at any time on a smartphone, laptop, or computer, allowing patients to access information when and where they need it. And that information can be edited at a moment's notice, allowing care providers to amend or change care coordination and management protocols as the patient progresses. And there's no paper to spill coffee on, have the dog chew up, or lose behind the sofa.
Christopher Meckel, MD, an orthopedic surgeon with Monterey Spine & Joint. Photo courtesy Monterey Spine & Joint.
Meckel says Montage Health and CHOMP were early adopters of the electronic medical record, which he describes as "a pretty good repository of information." The challenge for many health systems has been to make sure the information is stored, analyzed, and used in ways that improve clinical outcomes as well as clinical workflows.
And that, in some cases, has taken a while to figure out.
"It's become better [as a platform for] communication and doling out information," says Meckel. "That's where we saw this opportunity."
Through the EMR, Meckel and his colleagues can send messages, care plans, even videos to patients, helping them to prepare in advance for a surgery and follow a prescribed course of action to recover from surgery.
"The fact that it's asynchronous is fantastic," says Meckel, noting the messages and information can be accessed by the patient at any time. And it cuts down on time spent by the care team on the phone, setting up the next appointment or making sure the patient is following doctor's orders.
This also helps the care team with what often are specific rehabilitation goals after surgery. Care providers can set those goals early and remind patients ahead of time what they need to do when they're at home (including using videos to demonstrate certain exercises). They can monitor a patient's recovery in near-real-time, as opposed to waiting for the patient to come back into the office or call about a health concern. And with scheduled questionnaires, they can learn how the patient is doing every day, and spot trends or concerns that may need to be addressed.
"Some people tend to suffer in silence and think the pain they're feeling [after a procedure] is normal," Meckel says. 'That's why patient-reported outcomes are so important. They tell us more … than we might get" in a conversation in the office.
"You don't want to miss a person who needs help," he adds. "And you want to be able to answer the questions, 'Do I have a happy patient?' 'Does this meet their expectations?' 'Am I doing what I need to do'" to improve their quality of life?
These messages, questionnaires, reminders, links to resources, and videos generated through the EMR to the patient not only improve engagement, they enrich the patient record with more data, allowing care teams to better document clinical outcomes and help the patient toward recovery. They also provide important information to payers looking for value-based treatment plans and can be incorporated into bundled payment programs.
But Meckel points out the platform needs to be designed carefully, and that takes a bit of work on the provider's side to choose the right questions and map out the right care plans.
"A lot of effort goes into designing this," he says. "You need to choose the right questions, and everyone has to be" trained to not only schedule the questions but review the results coming back from patients.
"You want to be able to see that people are answering questions exactly the way you want them to be answered," he says. "It forces us to sit down and decide" not only how to ask a question, but what a care team wants in the answer. Too direct or complex in one direction, or too vague in the other, and the answer will lead to more questions and won't help form the care plan.
Looking into the future, Meckel says the messaging platform also lays the groundwork for remote patient monitoring, a care platform that many health systems are adopting to expand opportunities to treat patients at home. In fact, it may be an ideal way for a small hospital or medical practice to learn the ropes and get the details worked out before advancing to RPM, which may involve telehealth visits and digital health devices that gather physiological data in the home.
For his patients, Meckel wants to expand the platform to incorporate more videos and resources for home-based rehabilitation and exercise. He'd also like to integrate some AI functions to help patients with the basic mechanics of exercise. That's the natural progression for how he's using the platform and he wants to develop it carefully so that it doesn't become too cluttered.
"We need to keep this as simplified as possible," he says, or else his patients will become overwhelmed or lose interest. The easier and more intuitive the platform, the better the likelihood of keeping patients engaged and motivated.
The latest version of the ACC's three-year-old series of TRANSFORM studies, being conducted in Boston and Kansas City, will test whether underserved patients living with chronic cardiovascular concerns can be better managed through a digital health platform that includes wearables and AI tools.
The American College of Cardiology is studying whether digital health technology like wearables and AI can be used to improve care management for people with chronic cardiovascular conditions.
The ACC is partnering with Boston-based Biofourmis on the third and latest phase of its TRANSFORM study, which was launched in 2019 to “leverage EHR data, office-based interventions and partnerships to include the pharmaceutical and medical device industry, health plans, employers, clinicians, and patients.” The latest phase focuses on improving guideline-directed medication therapy (GDMT) in care management.
“TRANSFORM3 will provide real-world data on how cardiologists and other clinicians can more effectively and efficiently manage chronic cardiovascular conditions in underserved populations,” Megan Welch, MD, TRANSFORM3 investigator team member and cardiovascular disease fellow at Massachusetts General Hospital, said in a press release issued by Biofourmis. “Through technology-enabled approaches, we are hopeful that providers will have timely, meaningful awareness of their patients’ health status and adherence to guideline-recommended therapies. Ultimately, what we learn from TRANSFORM3 could lead to accelerated adoption of effective, evidence-based care plans that optimize outcomes and help patients lead longer, healthier lives.”
Researchers aim to study whether devices and platforms that monitor patients throughout the day can improve care outcomes, particularly in patients who can’t or won’t see a doctor on a regular basis. One of the primary benefits behind these remote patient monitoring platforms is that they can establish the baseline for a specific patient and raise an alarm when data indicates a concerning trend, allowing care providers to act quickly to avert a health crisis.
The “Evaluation of Implementation Strategies of Teaching, Technology, and Teams to Optimize Medical Therapy in Cardiovascular Disease (T3),” study will focus on patients living with heart failure with preserved ejection fraction (HFpEF), heart failure with reduced ejection fraction (HFrEF), atrial fibrillation, or cardiovascular risk with type 2 diabetes.
The latest study is broken into three branches. One will focus on patient education (Teach); a second will use digital health devices and AI tools, along with “frontline virtual health navigators” supplied by Biofourmis (Teams) to serve as the first line of resource and help patients manage their care; and the third will use digital health devices and AI tools to improve care management for local care providers (Technology).
The study will be lead by a team of Harvard Medical School clinicians based at Mass General, Brigham and Women’s Hospital, and St. Luke’s Health System in Kansas City.
Penn Medicine researchers have found that the health system's virtual care platform not only allowed Black patients to access care as easily as non-Black patients during the pandemic, but is keeping them coming back for more health services.
Penn Medicine researchers are reporting that a telehealth platform is helping the health system reduce barriers to access for Black patients.
In a study published in Telemedicine and e-Health, researchers from the Perelman School of Medicine at the University of Pennsylvania found that a virtual care program set up during the pandemic allowed Black patients to access care at the same rate as other populations. And that platform is continuing to erase “historic inequities” affecting those patients as the pandemic eases and the health system offers both in-person and virtual care.
“We looked through the entire year of 2020, not just the first half of the year when telemedicine was the only option for many people, and the appointment completion gap between Black and non-Black patients closed,” Krisda Chaiyachati, MD, an assistant professor of medicine at Penn Medicine and the study’s senior author, said in a press release. “Offering telemedicine, even though it was for a crisis, appears to have been a significant step forward toward addressing long-standing inequities in healthcare access.”
The study addresses the validation of telehealth in tackling barriers to healthcare access for underserved populations. Telehealth advocates say virtual care could be an important tool in connecting with people who have problems visiting the doctor’s office or hospital due to geographical, cultural or social issues. Some also worry that telehealth could compound that problem because some populations might not be able to afford, access or use the technology.
Chaiyachati, who oversees the Penn Medicine OnDemand virtual visit program, and his colleagues studied how Black patients in the Philadelphia area accessed their primary care providers in 2019 and 2020, and compared that to PCP access by non-Black patients. Looking at roughly 1 million appointments per year, they found that completed PCP visits by Black patients increased from about 60% in 2019 to more than 80% in 2020, while the completed PCP rate for non-Blacks rose from 70% to more than 80%.
In fact, the study showed that Blacks used telehealth more than non-Blacks, with one-third of the former’s visits conducted by telehealth in 2020 and a quarter of the latter’s visits via virtual care.
“The specific time periods where we saw significant gains made by Black patients came when telemedicine was well-established in our health system,” Chaiyachati said. “This does not appear to be a coincidence.”
Looking more closely at the numbers, Chaiyachati and his colleagues found that Black patients steered clear of healthcare during the height of the pandemic in 2020, when the nation was practically shut down, but those visits rose back up to and even above 2019 levels when the pandemic subsided.
“Telemedicine allowed patients to seek non-urgent primary care despite hesitancy for in-person visits pre-vaccine,” Corinne Rhodes, MD, an assistant professor of internal medicine and assistant medical director of quality in Penn Medicine’s primary care service line and the study’s co-author, said in the press release. “Providing chronic disease management and preventive care helped return primary care offices closer to pre-pandemic business as usual.”
The next step will be to ensure underserved patients continue to use telehealth when it’s available and convenient, allowing providers to address health concerns that extend beyond COVID-19 and which affect long-term clinical outcomes.
At the recent American Telemedicine Association conference, some heavy hitters in the telehealth world said the future will be guided by care providers who make virtual care their own.
Health system leaders looking for sustainability in telehealth should be focusing not on the latest technology, but on how providers are adapting virtual care to their own needs.
Roy Schoenberg, president and CEO of AmWell, says the industry is well past proving the value of the audio-visual telehealth encounter. And as the nation looks to move further away from the pandemic, virtual care will be defined by how it's now being used to improve clinical outcomes and clinician workloads.
"If we can always be next to the consumer … we can completely rewrite how we care for them," he said during a main stage appearance at ATA2022 earlier this month in Boston.
Schoenberg's comments were part of a busy three days in Boston for telehealth advocates as the ATA returned to a live event for the first time in more than two years. In a conference attended by healthcare providers and decision-makers, the theme of "Now What?" was seen as a challenge to the healthcare industry to go beyond validating telehealth and get to the job of using it.
A lot of the discussion was shaded by the understanding that the regulatory landscape around telehealth is still uncertain. The industry has been allowed to flourish under emergency federal and state measures enacted during the public health emergency (PHE) to expand access and coverage, but there's no clear idea yet what will remain and what will be lost when the PHE expires.
In that context, Schoenberg said, healthcare leaders need to step up and take the initiative.
"Telehealth is not static—it's changing," he told ATA CEO Ann Mond Johnson during a keynote. And healthcare must keep up.
More specifically, telehealth is allowing healthcare to broaden its horizons to the home and office and giving healthcare providers the freedom to shape more meaningful care management programs to patients' lives and habits.
"We've completely disrupted the old model of face-to-face service," James Mault, MD, the former Qualcomm Life executive and the founder and CEO of BioIntelliSense, a developer of wearable biosensor technology, said during a main stage panel. "Basically, healthcare has not changed fundamentally for somewhere in the realm of 2,000 years."
Mault, referencing a McKinsey report that states $265 billion in care costs will shift from the hospital to the home over the next three years, said the industry has to combine high tech and high touch to deliver care directly to the patient. That means embracing digital health tools that not only enrich the patient's medical record, but AI tools that sift through the data to give providers the information they need to improve clinical care.
Remote Patient Monitoring Picks Up Steam
One trend demonstrating that desire to get next to the consumer or patient is remote monitoring. Healthcare organizations are launching remote patient monitoring (RPM) programs at a quick pace, with the goal of extending care to the home and providing opportunities for real-time care management and population health. Vendors, meanwhile, see RPM as not only a means of partnering with health systems but a direct-to-consumer (DTC) channel to encourage consumers to monitor their health and engage with their care providers.
"This is more than just vital signs collection," said Carolyn Walsh, chief commercial officer for Florida-based BioIntelliSense, which announced RPM partnerships with UC Davis Health and Houston Methodist. "This is a comprehensive view of one's health status."
Withings Health Solutions debuted its RPM program, called Med Pro Care, two years ago with a line of connected devices directed at the health-conscious consumer. This year the French company introduced an updated platform, pairing devices with an app-based dashboard that aims, according to company vice president Antoine Robiliard, "to put the patient back in the center of healthcare."
Robiliard—who has moved to the U.S. to spearhead the company's efforts in advancing the platform in the Americas—said many RPM programs are too complicated and focus on what the provider wants rather than what the patient wants. More effective programs, he says, put the technology in the background and focus on integrating with the patient's lifestyle.
"Patients who are sick know they're sick," he said. "They don't need to be told this every day."
Consumers are also driving the trend toward DTC healthcare. An example of this is Ro, the start-up launched a few years ago to address erectile dysfunction, which has raised more than half a billion dollars in funding and now offers a wide range of services, including pharmacy interactions, virtual visits, and even in-home care.
"I think we all agree that patients are the ultimate stakeholders," Zachariah Reitano, chief executive officer of Ro that now rivals Teladoc and Amwell, said during a main stage presentation.
Reitano said the industry is shaping up to be a "competition over earning the right to take care of someone," a comment echoed a day earlier by digital health expert Joe Kvedar, who wondered who would "win the battle for primary care." Reitano said the battle might well be won by whoever figures out how to best control payment, reducing costs, marrying quality of care to value, and attracting the consumer's attention.
"This patient revolution, as cheesy as it sounds, is going to happen," he said.
Keeping Providers in the Loop
While interest in DTC telehealth tools and platforms is strong, Amwell's Schoenberg was quick to point out that telehealth won't achieve true value unless these services are linked to healthcare providers. That's why many telehealth companies are focusing their efforts now on new platforms and technology that integrate services into an enterprisewide network and improve the infrastructure behind virtual care.
"That's the ceiling for us as an industry right now," he said, likening efforts to "choreographing" the telehealth experience. "What that translates into is a laundry list of things we don't like" but that need to be done to improve the clinician experience.
Automation and AI will play a part in this. In a trend carried over from the HIMSS22 conference earlier this year in Orlando, several companies are pitching tools and platforms that do the back-end tasks that take up much of clinicians' time. And as Mault noted, others are marketing technology that sifts through the data coming in from various, unstructured sources, including wearables and smart devices, to give clinicians the data they need.
Several panelists and speakers said the innovation landscape will focus now on partnerships and mergers, as healthcare organizations look to expand their enterprise platform with certain tools and services. Some health systems have created their own innovation centers, and even set up venture capital funds, to serve as incubators for startups whose solutions can be field-tested in the health system before being marketed to the industry.
"The last couple of years have been a sandbox," Nathaniel Lacktman, a partner with the Foley & Lardner law firm, chair of its telemedicine and digital health industry team and a national expert on digital health law, said during one panel discussion focused on the future of virtual care. "Building upon that, we'll create programs that are more meaningful."
And that's where Schoenberg says the healthcare industry should focus. Healthcare providers now have the tools to improve patient care and the platforms to make healthcare a digital companion, always at the consumer's side.
And if providers really want to choregraph the care continuum, as Schoenberg said, they'll need to lead the dance.
Researchers at The Ohio State University are developing digital health technology that can track one's health through a small device worn on the ear or finger by measuring small amounts of gas emitted through the skin.
The next generation of digital health wearable might focus on body gases.
Fart and BO jokes aside, researchers at The Ohio State University are working on skin sensors that detect gaseous acetone leaving the skin. Those emissions could contain biomarkers for a wide range of health issues, including diabetes and heart disease.
“Discerning health issues through the skin is really the ultimate frontier,” Pelagia-Iren Gouma, a member of the research team and professor of materials science and engineering at OSU, said in a press release issued by the university. “The project still has a couple of years to go. But in six months, we should have proof of concept and in a year, we’d like to have it tested in people.”
The research, supported by the National Science Foundation and recently published in PLOS One, points to an increasing interest in wearable sensors for remote monitoring, and the wide variety of form factors in that field. While smartwatches and fitness bands have long been the most popular, digital health researchers and companies have used rings, smartglasses, hearing aids, patches, bandages, tattoos, and even sensor-embedded clothing to track one’s health.
Gourna and her team are working on a small device that would fit around the ear or on a fingernail and track acetone emissions. They’re using a film-like material made from derivatives of plant cellulose and electroactive polymers that reacts to the acetone.
“We found significant bias toward bending more upon exposure to certain chemicals over others,” Anthony Annerino, a graduate student in materials science and engineering and lead author of the study, said in the news release. Using AI and machine learning tools, the platform could enable the tracking of long-term changes to one’s metabolism, and it could be modified to track ethanol, which can signal liver disease.
“This is an area of research that hasn’t been nearly as well developed yet, because we’re just now producing the technology to measure lower concentrations of these gases with high selectivity,” he said.
Annerino also noted that many wearables track biomarkers through electrical signals applied to sweat, which means that a user has to sweat – sometimes profusely – to get enough data. And while tracking biomarkers through someone’s breath has been done through mHealth devices like a breathalyzer, that requires “active intent” and only gives a momentary glimpse of one’s health.
He and his team contend that detecting gases through the skin can be less intrusive.
“It is completely non-invasive, and completely passive on the behalf of the user,” he said.
Self-contained telehealth kiosks had a short-lived heyday about 10 years ago. Now they're getting a second chance, as healthcare organizations look at new ways to improve access and deliver care to remote populations.
The telehealth kiosk may be making a comeback.
Canada-based UniDoc Health Group unveiled its H3 Cube Virtual Care Solutions Model (VCSM) kiosk at the American Telemedicine Association conference this week in Boston, alongside news on a handful of projects around the world and proposed new uses.
The announcement raises the profile of a direct-to-consumer telehealth form factor that had enjoyed a heyday roughly a decade ago before sinking into obscurity. Now, with an emphasis on delivering care to populations in remote locations and helping people access care outside the hospital or doctor’s office, healthcare organizations are taking another look.
The H3 Cube is a self-contained room that can be dropped into a specified location to give people an on-demand and discrete virtual link to healthcare providers. It can include a chair and a bed and dozens of digital health devices, most of which are supplied by Boston-based AMD Global Telemedicine, and can be customized to meet a provider’s specifications.
“We can put these anywhere in the world,” company president and CEO Antonio Baldassarre said. “We are literally duplicating a clinic.”
Baldassarre said this kiosk first gained a foothold in Italy and Germany, where it was used to provide virtual care in remote Alpine communities. It’s now being deployed to Ghana and the Gambia in Africa, as well as in Ontario, where it’s being trialed in pharmacies and used to improve access to care for the Mohawk and Algonquin communities.
The H3 Cube, developed by the Canada-based UniDoc Health Group, was unveiled at the AMC Global Telemedicine booth during this week's American Telemedicine Association conference in Boston. Photo courtesy UniDoc.
Earlier this year the company signed a five-year, $6 million deal with Sirach Health and Wellness in Tucson, Arizona, to place at least 20 kiosks in locations around the city to serve low-income residents, veterans and the homeless. Other US deals are pending.
“Virtual care has come of age as the affordable and accessible alternative for providing front-line medical assessment for the underprivileged and underserved citizens of Arizona, America, and beyond,” Sirach COO Dr. Lynn P. Hall said in a press release. “This is a great opportunity to utilize technology effectively and compassionately.”
Baldassarre, who showed off the kiosk in the ATA exhibit hall and displayed a video of the H3 Cube being delivered to villagers in Ghana, said the kiosk allows healthcare providers to deliver care in hard-to-reach locations and to people who face barriers to accessing care. It can be placed in retail locations, community centers and other sites and equipped with as little or as much digital health technology as needed.
“We’re eliminating the burden of making an appointment” for a healthcare visit in a clinic or doctor’s office, he said.
The H3 Cube might remind more than a few people of the HealthSpot, the high-tech, high-gloss telehealth kiosk first unveiled at the CES show in Las Vegas in 2012. The company raised almost $50 million, built close to 200 kiosks and secured deals with the likes of Rite-Aid, the Mayo Clinic, the Cleveland Clinic and Kaiser Permanente before going bankrupt in 2016.
At that time, telehealth experts said the HealthSpot was too big and flashy, with a price point that made ROI impossible. Since then, kiosks have morphed into smaller units, like desktops or work-stations rather than rooms, capable of fitting into cubicles at libraries, clinics, malls, pharmacies, and even emergency departments at busy hospitals.
The form factor also took a hit during the pandemic. While the concept was a nice way of reducing in-person care and the risk of infection, healthcare providers had to spend lots of money and time cleaning and disinfecting the kiosks after every visit.
But the COVID-19 crisis has also helped. The pandemic forced many health systems to reimagine how care can be delivered outside the traditional hospital or office setting not only to boost access to care but to connect with populations who can’t or won’t go to care providers. They can also take advantage of better digital health technology and expanded wi-fi and cellular capabilities.
“They’re much more adaptable now,” Baldassarre said, noting the partnership with AMD Telemedicine gives them the opportunity to equip the cubes with more than 40 different tools capable of providing a wide range of primary and specialty care services. And through virtual care connections, he said, the cube can connect patients to payers, pharmacies and specialists at a moment’s notice.
In Arizona, he said, Sirach plans on deploying the kiosks to pull in homeless people, veterans and others who aren’t getting primary care services on a regular or reliable basis, and to use that platform as a bridge to more care services, even non-healthcare services that address the social determinants of health.
Baldassarre said he’s looking for partnerships with the Department of Veterans Affairs, as well as inner city clinics and Native American communities. And while the African deployments are subsidized by each country’s government, North American projects are hewing closer to a subscription-based model, with support from organizations like the VA, federal and state public health agencies and donations.
The success of these kiosks may very well hinge on how the company develops an ROI, which at this point isn’t clear. A press release issued this week further outlining the Sirach deal points out that more research is needed.
“The delivery of these initial VCSM kiosks and any additional kiosk locations are all subject to the commercialization of the VCSM kiosk by the Company, completion of successful site studies by both parties and other customary conditions,” the May 4 press release states. “As at the date of this news release, the VCSM remains under development by the Company and has not generated any revenues. There is no guarantee that any service fees will be paid to UniDoc under the Agreement or that the VCSM will generate any revenues at all.”
Magellan Federal is partnering with NeuroFlow to roll out the latter's digital health platform to US Military members and their families is select locations for on-demand access through a mobile device to behavioral health resources.
A managed care company working with the US Military is launching a digital health program aimed at giving military members and their families on-demand access to discreet and personalized mobile behavioral health services.
Magellan Federal, a subsidiary of Centene’s Magellan Health unit, is partnering with NeuroFlow to make the Philadelphia-based company’s platform available to military families on their smartphone or other mHealth device.
NeuroFlow is one of many companies targeting the behavioral health space with digital health platforms that prompt users to fill out surveys or questionnaires, then deliver reminders, symptom trackers, exercises and other personalized resources.
The strategy is popular in healthcare, which has seen a surge in stress, depression and burnout as a result of the pandemic. Late last year Philadelphia’s Thomas Jefferson University and Jefferson Health announced a partnership with NeuroFlow to make those resources available to health system staff as well as the university’s staff and students.
Magellan Federal, which handles managed care services for more than 300 US bases, installations and agencies around the world, is turning to the platform to help address high rates of stress among US service members and their families. The idea is to pair this platform with expanded health and wellness services offered by Magellan.
The first phase of the program, expected to take about 18 months, will see the NeuroFlow platform rolled out to families at three installations through the Military & Family Life Counseling (MFLC) program, which is supported by the Office of the Deputy Assistant Secretary of Defense for Military Community and Family Policy (MC&FP), Office of Military Community Support Programs (MCSP).
Along with giving military members and their families access to confidential resources, the program will also provide de-identified, population-level data to the US Military to help them track behavioral health trends across their network.
“We have the opportunity to proactively recognize and respond to the emotional highs and lows of the American military family,” Chris Molaro, NeuroFlow’s chief executive officer and former Army captain, said in a press release. “We want to pave an easier pathway for seeking support, if necessary, and this collaboration focuses on providing service members and their spouses with a secure, private resource to help close the gap between mental and physical health.”